Computational Cancer Microstructure Imaging Group

The Computational Cancer Microstructure Imaging group is a research group in the Hawkes Institute, UCL. Our research focuses on developing computational methods for characterisation of tumours via imaging and the translation of these techniques into the clinical pathway.

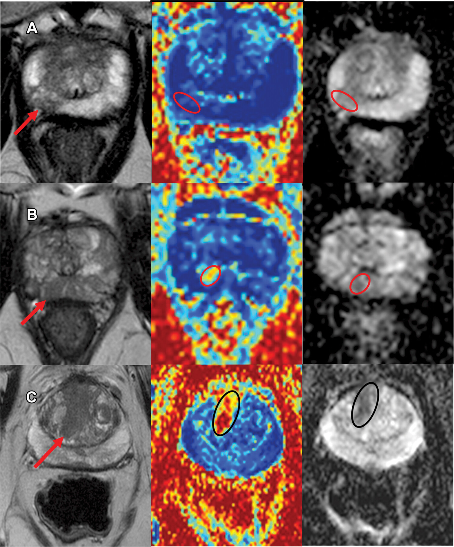
Currently, cancer diagnosis is heavily dependent on histology following invasive biopsy procedures, which can often have severe side effects. In our research, we focus on advanced MRI techniques, which are non-invasive and in-vivo - our work aims to develop computational tools to enhance their discriminatory power.

Our vision is early, accurate and personalised treatment decisions in cancer without the need for uncomfortable and risky biopsies. We use computational modelling and machine learning to design cutting-edge MRI methods to establish new imaging biomarkers and transform patient care. The long-term goal is construction of the next generation of clinical diagnostic tools to replace unnecessary biopsies as the primary diagnostic procedure.

(see Research).

UCL Ccami started with an EPSRC-funded fellowship and has studentships from EPSRC CDT i4health. We are located at the Hawkes Institute.